インプラント症例紹介
当医院のインプラント治療は、お口全体のバランスを考えた「審美性とかみ合わせ重視」のインプラント治療が特徴です。
また、抜歯即時埋入インプラントにより、痛みを軽減し治療期間を短縮。
患者様の体への負担を最小限に抑えた、快適なインプラント治療をご提供しています。
01 症例
仮歯がよく取れてしまうのでインプラントにしたい
Before
After
| 治療内容 | 上の前歯が仮歯で両隣の歯と接着しているが、よく取れるのでインプラントを希望 |
|---|---|
| 患者様 | 60代女性 |
| 主訴 | インプラントにしたい |
| 治療期間(目安) | 3ヶ月 |
| 治療費(税込:目安) | ¥512,000 |
| リスク | 術後に多少の痛みや腫れが出ることがある。歯肉退縮がおきると、歯と歯肉の間に隙間が生じることがあります。 |
02 症例
歯の根の状態が悪いためインプラントにしたい
Before
After
| 治療内容 | 前歯の見た目が悪く、歯の根の状態も悪いのでインプラントにしたい。 |
|---|---|
| 患者様 | 50代女性 |
| 主訴 | 歯の根の状態が悪いためインプラントにしたい |
| 治療期間(目安) | 5ヶ月 |
| 治療費(税込:目安) | ¥2,702,700 (土台:5本、被せ物:7本) |
| リスク | 術後に多少の痛みや腫れが出ることがある。歯肉退縮がおきると、歯と歯肉の間に隙間が生じることがあります。 |
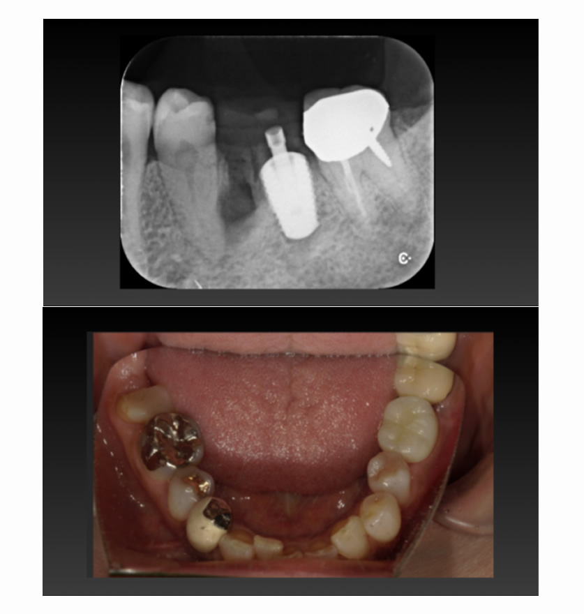
04 症例
04 右下の歯が割れ、左上が入れ歯なのでインプラント希望
Before
After
| 治療内容 | 右下の歯が割れている、左上が入れ歯なのでインプラント希望 |
|---|---|
| 患者さま | 50代男性 |
| 主訴 | 根が割れていて痛いのと、入れ歯の管理が大変なのでインプラントにしたい。 |
| 治療期間(目安) | 3ヶ月 |
| 治療費(税込:目安) | ¥984,500 |
| リスク | 術後に多少の痛みや腫れが出ることがある。歯肉退縮がおきると、歯と歯肉の間に隙間が生じることがあります。 |
05 症例
歯が割れ、咬むと痛いのでインプラントにしたい
Before
After
| 治療内容 | 歯が割れていて咬むと痛いのでインプラント希望 |
|---|---|
| 患者さま | 60代女性 |
| 主訴 | 咬むと痛いのでインプラントにしたい |
| 治療期間(目安) | 3ヶ月 |
| 治療費(税込:目安) | ¥518,100 |
| リスク | 術後に多少の痛みや腫れが出ることがある。歯肉退縮がおきると、歯と歯肉の間に隙間が生じることがあります。 |
06 症例
歯が割れて痛いのでインプラント希望
Before
After
| 治療内容 | 歯が割れていて咬むと痛いのでインプラント希望 |
|---|---|
| 患者さま | 60代女性 |
| 主訴 | 咬むと痛いのでインプラントにしたい |
| 治療期間(目安) | 3ヶ月 |
| 治療費(税込:目安) | ¥518,100 |
| リスク | 術後に多少の痛みや腫れが出ることがある。歯肉退縮がおきると、歯と歯肉の間に隙間が生じることがあります。 |
